|
|
|
|
|
|
|
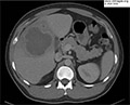
 | A returning traveler with two weeks of fever A sailor in his 30s with no significant medical history was admitted to hospital with an 8.2 cm hepatic abscess within the right lobe of the liver. Symptoms started two weeks prior to presentation with fevers, chills and night sweats that progressed to right-upper abdominal quadrant pain. The patient had no headache, neck stiffness, chest pain, shortness of breath, diarrhea, hematochezia, dysuria, extremity swelling or rashes. Read More » | |
|
|
 |
A man in his seventies presents with a chronic finger ulcerative lesion » |
| |
 |
A Returning Traveler with Respiratory Failure » |
| |
 |
Hands Tied: Managing an Unrelenting Infection in an Immunocompromised Host » |
| |
 |
What the Ferret? An Unusual Journey Through Zoonotic Infection » |
|
|
|
|
 |
| Cases of special interest from our library » |
| |
 |
| Cases of HIV infection from around the world » |
| |
 |
| Cases from the IDWeek / IDSA annual meetings » |
| |
 |
| Infections in children and adolescents » |
|
|
|
 |
A middle-aged man with HIV infection developed fever, a productive cough and pleuritic chest pain. » |
| |
 |
A man in his sixties with fever, fatigue and cough with occasional sputum of 3 weeks' duration. » |
| |
 |
A woman with a biphasic respiratory illness. » |
| |
 |
A woman with fever, headache, and a new rash. » |
|
|
|
Rajesh T. Gandhi, M.D.
Editor-in-Chief |
Sadie Cowan, MPH
Managing Editor |
Brett MacAulay
Webmaster, site developer |
|
|
|
|
|
|
|