Partners Healthcare Systems
Follow us:User Survey - click here for more informationUser Survey - click here for more information

Special Collections > IDWeek 2024 presentations

Mass General Brigham ID Images has partnered with IDWeek to present cases from the Fellows’ Day Workshop on our site.

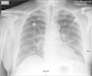
View Case #24007
A case of a man with hemoptysis and weight loss
View Case
View Case #24006
A returning traveler with two weeks of fever
View Case
View Case #24005
A man with untreated HIV presents with subacute, progressive cough and shortness of breath
View Case
View Case #24004
An immunocompromised man from rural New Mexico, with a 3-month history of skin nodules
View Case
View Case #24003
A man with diffuse large B-cell lymphoma presents with multiple mass like lesions
View Case
View Case #24002
A man with progressive headache and new left-sided weakness
View Case
View Case #24001
A man in his 60s presents with progressive shortness of breath.
View Case

Click here to view additional IDWeek cases