Partners Healthcare Systems
Follow us:User Survey - click here for more informationUser Survey - click here for more information

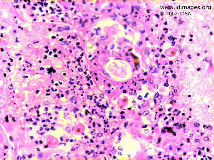
Image from atlas entry: Acanthamoeba castellanii

Figure 1. Acanthamoeba castellanii on hematoxylin and eosin stain of brain biopsy.

Alternative Image Resolutions
Associated Organisms
Organ System
  • Brain
Image Technique
  • Photomicrography
Lab Technique
  • Hematoxylin and Eosin Stain
Specimen Type
  • Pathology Specimen
Related Images
View other images with a common diagnosis or organism.
Other Notes
Figure 1 contributed by Jyoti Somani, MD, and Frederick Nolte, MD, Emory University, Atlanta, GA. Copyright 40th Annual Meeting of Infectious Disease Society of America (IDSA), 2002. Used with permission. Please refer to the Contributors page for the list of IDSA 2002 Contributors.
URI
http://www.idimages.org/images/detail/?imageid=1808