Partners Healthcare Systems
Follow us:User Survey - click here for more informationUser Survey - click here for more information

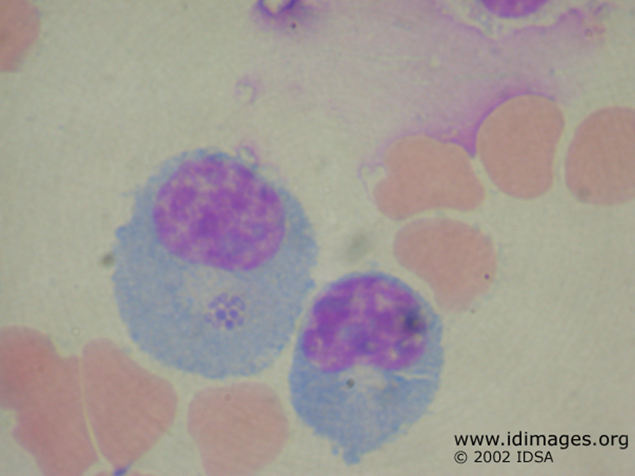
Image from atlas entry: Ehrlichia

Figure 1. Wright stain of cerebrospinal fluid showing intracytoplasmic Ehrlichia chaffeensis.

Alternative Image Resolutions
Associated Organisms
Organ System
  • Cerebrospinal Fluid
Image Technique
  • Photomicrography
Lab Technique
  • Wright Stain
Specimen Type
  • Cerebrospinal Fluid Sample
Related Images
View other images with a common diagnosis or organism.
Other Notes
Images contributed by Jay Sizemore, MD, University of Alabama at Birmingham, Birmingham, AL. Copyright 40th Annual Meeting of Infectious Disease Society of America (IDSA), 2002. Used with permission.
URI
http://www.idimages.org/images/detail/?imageid=1706