Login
Register
About
Help
Contact
Follow us:
Home
Cases
Images
Atlas
My ID Images
Search
Cases
Images
Atlas
Image from atlas entry:
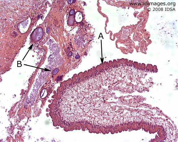
Taenia solium
Figure 1.
Taenia solium
shown by hematoxylin and eosin stain of resected thecal cyst, with cyst wall A and mineralized calcareous bodies B.
Alternative Image Resolutions
large
original
small
Associated Organisms
hidden
(show)
Organ System
Spine
Image Technique
Photomicrography
Lab Technique
Hematoxylin and Eosin Stain
Related Images
View other images with a common diagnosis or organism.
Other Notes
URI
http://www.idimages.org/images/detail/?imageid=1796
Copyright 2002-2026 Partners Healthcare System, Inc.
Privacy & Disclaimer
Twitter
|
Facebook