Login
Register
About
Help
Contact
Follow us:
Home
Cases
Images
Atlas
My ID Images
Search
Cases
Images
Atlas
Image from atlas entry:
Entamoeba
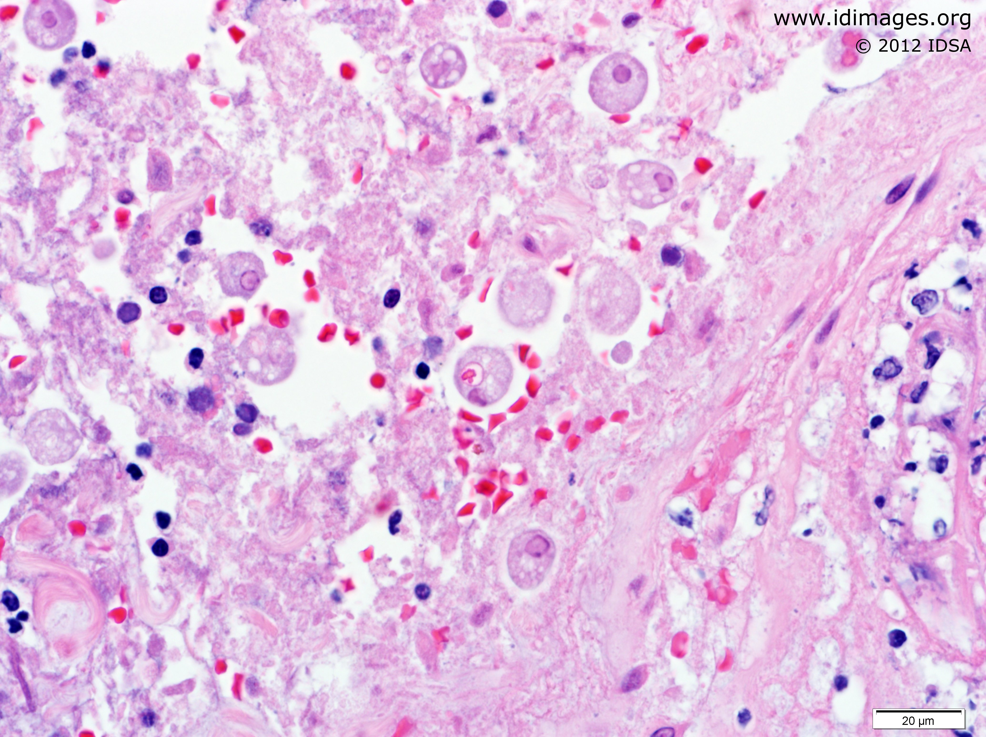
Figure 3.
Entamoeba histolytica
on hematoxylin and eosin stain of resected colon, high power.
Alternative Image Resolutions
large
original
small
Associated Organisms
hidden
(show)
Organ System
Colon
Image Technique
Photomicrography
Lab Technique
Hematoxylin and Eosin Stain
Specimen Type
Pathology Specimen
Related Images
View other images with a common diagnosis or organism.
URI
http://www.idimages.org/images/detail/?imageid=1819
Copyright 2002-2026 Partners Healthcare System, Inc.
Privacy & Disclaimer
Twitter
|
Facebook