Cases
Images
Atlas
Schistosoma
A genus of trematode flukes belonging to the family Schistosomatidae. There are over a dozen species. These parasites are found in man and other mammals. Snails are the intermediate hosts.
Source:
National Library of Medicine 2013 MeSH Scope Note and Classification
Images
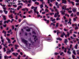
Figure 1. Ovum of
Schistosoma mansoni
with lateral spine, seen on biopsy of cerebellar lesion.
Notes
For Figure 1, please refer to the Welcome and Contributing Authors page for the list of IDSA 2003 Contributors. Copyright 41st Annual Meeting of Infectious Disease Society of America (IDSA), 2003. Used with permission.
Related Cases
A teenaged male with back pain and leg weakness.
A man in his thirties with vertigo and nausea.
Related Images From Cases
References
National Library of Medicine 2013 MeSH Scope Note and Classification
Home
Cases
Recent
By Diagnosis
By Organism
Featured
Special Collections
Favorites
Self-Test
All Cases
Images
By Diagnosis
By Organism
By Image Technique
Image Quiz
Recent
All Images
Atlas
Organisms By Classification
All Organisms
Search
About
About ID Images
Site development
Contributors
Permissions and Copyright
Feedback
Account
Contact
Login
Register