Login
Register
About
Help
Contact
Follow us:
Home
Cases
Images
Atlas
My ID Images
Search
Cases
Images
Atlas
Image from atlas entry:
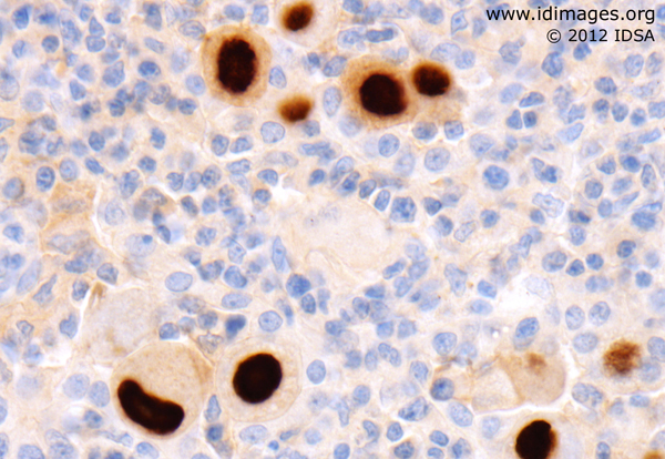
Cytomegalovirus
Figure 1. CMV immunoperoxidase staining of enlarged nuclei in lung tissue.
Alternative Image Resolutions
large
original
small
Associated Organisms
hidden
(show)
Organ System
Lung
Image Technique
Photomicrography
Lab Technique
Immunohistochemistry
Specimen Type
Pathology Specimen
Related Images
View other images with a common diagnosis or organism.
Other Notes
Microscopy at 400x magnification.
URI
http://www.idimages.org/images/detail/?imageid=1846
Copyright 2002-2026 Partners Healthcare System, Inc.
Privacy & Disclaimer
Twitter
|
Facebook